华美真人案例









学霸女神变身记
我要高智商,更要高颜值
术前烦恼:塌鼻、单眼皮、咬肌肥大、下巴短小
蜕变项目:达拉斯全鼻整形、生态重睑、改脸型
今年18岁的我,现在已经是一名大三的学生。都说“上帝为你关上一扇门的时候,会为你打开一扇窗”。我想,上帝之所以不给我一张好看的脸,是因为他给了我学霸级的智商。可是要我选的话,我想做...【点击详情】
"完美逆袭" 的曾李惠子
逆转岁月重拾青春
术前烦恼:皮肤暗黄、缺水、满脸皱纹、色斑
蜕变项目:水光针、玻尿酸丰脸颊、美白嫩肤
她是名副其实的女屌丝,不要问为什么,有图为证:塌鼻小眼厚唇平胸。这样的她难道只能活在对她她她……的羡慕嫉妒恨之中暗自神伤?答案是NO!她惊天逆袭,完成了女屌丝向宅男女神的华丽转变...【点击详情】
“不老辣妈”的袁玲
女屌丝华丽变身女神
术前烦恼:驼峰鼻,鼻子歪斜,鼻部形态不佳手术
蜕变项目:双眼皮、开眼角、瘦脸、改脸型、
年龄,是每个女人的秘密,可是只要一看到镜中的自己,那一张暗黄满是色斑的憔悴面容,深深的鱼尾纹还有干瘪五官,每一个一处不在“明目张胆”告知我的年龄,用了粉底都没办法遮住,反而还导致了过敏...【点击详情】
“爱情失利”的小伙刘培
成功逆袭做最大赢家
术前烦恼:肿泡眼、厚眼袋、鼻型不好、大黄牙
蜕变项目:双眼皮、祛眼袋、综合隆鼻、皓齿美白
“颜值”、“型男”这些词从来都没想过会和我有什么关系,一直以来,我都被自己的外形所困扰,我的爱情也随之泯灭,“越是没有的东西越想要,就会觉得如果能够改变样子就能够改变性格...【点击详情】
舞动青春的刘冰雪
完美蜕变重拾自信
术前烦恼:鼻头短小、鼻梁塌、咬肌肥大、痤疮
蜕变项目:综合美鼻、改脸型、祛痘
我从小就是一个活泼好动的“女汉子”,喜欢运动,喜欢跳舞,装束上比较运动休闲,发型就一个马尾走天下,走路起来也是一蹦一跳,大大咧咧。可是每每看到毫无立体感的鼻子、无光的眼神,就我...【点击详情】
“假小子”胡悦
女屌丝华丽变身女神
术前烦恼:单眼皮、内眦赘皮、鼻尖塌、咬肌肥大
蜕变项目:韩式双眼皮、综合隆鼻、精细改脸
在我过去的18年,只能用“汉子”来诠释,我也想变成女孩子应该有的样子,也希望我是个公主,有一天王子会骑着白马来找我,结果周围人都泼冷水:“别闹了,你哪里都长得不像公主!”我是姑娘,我要...【点击详情】
追梦少女邓紫丹
完美蜕变“素颜女神”
术前烦恼:内双、内眦赘皮、塌鼻梁、咬肌肥大
蜕变项目:综合隆鼻、隆下巴、瘦脸针
明明如花的年龄,却因为眼睛小、塌鼻梁,大饼脸,下巴后缩等问题,看起来很容易让人觉得我疲惫无精神,是个大龄剩女,好郁闷!没有那个女性不爱美,所以我选择改变,选择了贵阳华美...【点击详情】
“幸福中转”的郝小馨
挡不住她的性感火辣
术前烦恼:乳房扁平、面部轮廓不佳、上唇过薄
蜕变项目:假体丰胸、自体脂肪面部填充
我是一名公司的普通白领,也是一名单亲妈妈。曾经,我在工作上和感情上都受到很大的打击。20出头我懵懂走进婚姻,一次失败的婚姻之后,我一度很难走出离婚的阴影。这些都...【点击详情】
双眼皮+开眼角案例
双眼皮+开眼角案例
上睑下垂案例
双眼皮+开眼角案例
达拉斯综合隆鼻案例
韩式综合隆鼻案例
鼻尖塑形案例
综合美鼻案例
假体定制丰胸
假体定制丰胸
自体脂肪丰胸
复合丰胸
轮廓塑形
精细改脸形
玻尿酸塑形
脂肪移植活颜精雕术
黄褐斑
雀斑+褐青色痣
雀斑+黄褐斑
雀斑样痣
LED红蓝光祛痘
微针祛痘案例
点阵激光祛痘
医学祛痘案例
脱腋毛
脱腿毛
全身脱毛
脱唇毛
王者风范嫩肤案例
果酸焕肤案例
美白嫩肤案例
毛孔粗大案例
欧式孕睫术
欧式孕睫术
欧式孕睫术
欧式孕睫术
热玛吉除皱案例
热玛吉除皱案例
超声刀+热玛吉除皱
注射除皱案例
玻尿酸塑形
水光针案例
注射除皱
水光针案例
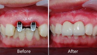
中年人种植牙
老年人种植牙
青年人种植牙
老年人种植牙
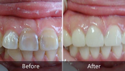
烤瓷牙
烤瓷牙
烤瓷牙贵阳华美一直秉承"铸行业标准,创百年华美"的品牌愿景,致力打造品质医美,做
中国医美行业的领导者,提供爱美者「安心安全」的医疗环境、
「专业个性」的美丽定制、「贴心人性」的服务体验。